
Häufig gestellte Fragen (FAQ) – Kieferorthopädie
Was ist und was macht ein Kieferorthopäde?
Ein Kieferorthopäde ist ein Fachzahnarzt, der sich mit einer umfangreichen Weiterbildung auf die Diagnose und die Behandlung von Zahn- und Kieferfehlstellungen spezialisiert hat. Wir sorgen für langfristige Zahngesundheit. Gleichzeitig wirkt sich die Korrektur auch immer positiv auf die Ästhetik aus. Ein schönes Lächeln, das bleibt!
Was passiert bei einem Beratungstermin?
Bei einem Beratungstermin findet eine Untersuchung der Zähne, des Kiefers und der Körperhaltung statt. Wir teilen Ihnen die kieferorthopädische Behandlungsbedürftigkeit mit und entscheiden gemeinsam über das weitere Vorgehen. Wir bitten darum, dass bei dem Beratungstermin eine erziehungsberechtigte Person anwesend ist und gesetzlich Versicherte Ihre Krankenkassenkarte mitbringen. Die Kosten für die Beratung werden sowohl von der gesetzlichen Krankenversicherung als auch von der privaten Krankenversicherung vollständig übernommen. Einen Beratungstermin können Sie einfach über die Online-Beratungstermine oder per Telefon vereinbaren. Sie benötigen dafür KEINE Überweisung.
Ab welchem Alter sollte mein Kind zum Kieferorthopäden?
Viele Eltern fragen sich, ob ein Besuch nicht "zu früh" ist. Wir empfehlen eine erste Kontrolle zwischen dem 6. und 7. Lebensjahr. In diesem Alter lassen sich Kieferwachstum und Zahnwechsel gut einschätzen.
Wie lange dauert eine kieferorthopädische Behandlung?
Die Behandlungsdauer hängt von der Zahn- und Kieferstellung, dem Alter und der Mitarbeit ab. Typischerweise liegt sie zwischen 1 und 2,5 Jahren. In der Beratung geben wir Ihnen eine realistische Einschätzung.
Übernimmt die Krankenkasse die Kosten?
Eine der häufigsten Fragen - völlig zurecht. Gesetzliche Krankenkassen übernehmen Kosten bei bestimmten Fehlstellungen in Abhängigkeit des Schweregrads. Bei prophylaktischen und komfortorientierten Lösungen entstehen Eigenanteile. Private Versicherungen und Beihilfe regeln dies individuell. Transparenz ist uns wichtig: Sie erhalten vor Behandlungsbeginn eine klare Kostenübersicht.
Ist eine Zusatzversicherung für Kieferorthopädie sinnvoll?
Diese Frage lässt sich nicht pauschal beantworten und muss individuell abgewogen werden. Häufig ist es sinnvoll, die Zusatzversicherung vor Ihrem ersten kieferorthopädischen Kontrolltermin abzuschließen.
Müssen unangenehme Abdrücke genommen werden?
Nein. Wir machen auschließlich schnelle und sehr genaue 3D-Scans der Zähne und Kiefer. Bei diesen Scans handelt es sich nicht um Röntgenstrahlung, sondern um ganz viele Fotos, die der Computer zu einem exakten 3D-Modell zusammenrechnet, das wir dann mit einem 3D-Drucker herstellen können. Der Vorteil dieser modernen Technik liegt im Patientenkomfort und in der Genauigkeit.
Werden die Zähne durch die feste Zahnspange beschädigt?
Grundsätzlich beschädigt die feste Zahnspange die Zahnoberfläche nicht. Die Brackets sind mit einem speziellen Kleber auf der Zahnoberfläche befestigt. Unter dem Bracket kann also gar nichts passieren. Das Problem bei der festen Zahnspange ist die erschwerte Zahnreinigung. Die Zahnoberfläche um die Brackets herum ist für die Zahnbüste schwerer zu erreichen und Essensreste können so länger auf der Zahnoberfläche haften bleiben und diese beschädigen. Das heißt aber auch, dass bei einer sehr guten Zahnpflege und der Reinigung aller Zahnoberflächen nichts passieren kann. Zur vereinfachten Reinigung und Reduzierung von schwer erreichbaren Schmutznischen verwenden wir selbstligierende Mini-Brackets und reduzieren damit schwer erreichbare Flächen und Nischen. Eine äußerst wichtige Schutzmaßnahme ist der Schutzlack (Bracketumfeldversieglung). Dieser wird direkt vor dem Einsetzen der Brackets aufgetragen und schützt die Oberfläche des Zahnschmelzes vor Säureangriffen, auch dort wo die Zahnbürste nicht jedes Mal hinkommt. Damit wird das Risiko von Entkalkungen und Karies deutlich verringert. Die zahnfarbenen Komfort-Brackets haben zusätzlich den großen Vorteil der verbesserten Übersichtlichkeit und werden dadurch in der Regel besser sauber gehalten. Für den Patienten sind so verbliebene Essensreste einfacher zu erkennen und können schneller entfernt werden. Selbstverständlich erfolgt auch immer eine umfassende Pflegeanleitung beim Einsetzen der festen Zahnspange.

Feste Zahnspange aus Metall oder Keramik?
Die feste Zahnspange wird häufig in einem Alter eingesetzt, bei dem das Aussehen eine immer größere Rolle spielt. Da ist der Wunsch nach einer unauffälligen Zahnspange nachvollziehbar. Eine ästhetische Optimierung sind zahnfarbene Komfort-Brackets aus Keramik. Die Zahnspange mit diesen hypoallergenen Brackets fällt nicht sofort auf, weil die transluzente Keramik die individuelle Zahnfarbe aufnimmt. Hochwertige und bruchsichere Keramik-Brackets, die sich im Gegensatz zu Kunststoff-Brackets nicht verfärben, verbessern gleichzeitig die Übersichtlichkeit und werden dadurch in der Regel besser sauber gehalten. Für den Patienten sind damit verbliebene Essensreste einfacher zu erkennen und können schneller entfernt werden. Auf der glatteren Oberfläche der Keramik-Brackets können Bakterien auch schwerer haften. Die zahnfarbenen Brackets sind also unauffälliger, sorgen für weniger Metall im Mund und vereinfachen die Zahnpflege.
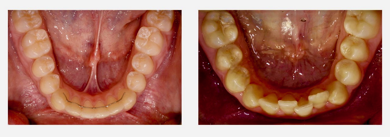
Verschieben sich die Zähne nach der Behandlung zurück?
Ob man von Natur aus gerade Zähne hat oder die Zähne kieferorthopädisch begradigt wurden - unsere Zähne verschieben sich leider zeitlebens. Diese Verschiebungen erfolgen auch nach Entfernung der Weisheitszähne. Der gesamte Körper und damit auch unser Aussehen verändert sich im Laufe der Zeit. Die Zähne, die in einem relativ dünnen Knochenbett den veränderten Muskelkräften ausgesetzt sind, machen dabei keine Ausnahme. Mit festsitzenden Retainern (Bild unten links) haben wir aber die Möglichkeit die Zahnstellung langfristig zu sichern, damit Sie auch lange was von der aufwändigen Behandlung haben. Das sieht nicht nur gut aus, sondern gewährleistet auch langfristig eine gute Zahnpflege.

Tut das Einsetzen der festen Zahnspange weh?
Die gute Nachricht ist, dass weder „gebohrt“, „gespritzt“ oder irgendetwas „gezogen“ wird. An dem Termin werden die Zahnoberflächen gründlich gereinigt und poliert. Anschließend wird der Schutzlack auf die Zahnoberfläche „gepinselt“ und direkt darauf die Brackets platziert. In der Regel ist das alles gut auszuhalten. In der ersten Woche mit der festen Zahnspange merkt man aber ein Druckgefühl, dass man sich wie einen „Muskelkater“ vorstellen kann. Die Zähne kommen jetzt in Bewegung, werden dabei aber weder verletzt noch beschädigt. Durch die verwendeten thermoelastischen Drähte und die selbstligierenden Brackets arbeiten wir mit sehr gering dosierten Kräften, die dieses Druckgefühl verringern. Auch eine sehr gute Zahnpflege reduziert mögliche Missempfindungen. Erfahrungsgemäß hat man sich nach einer Woche sehr gut an die feste Zahnspange gewöhnt.
Müssen die Weisheitszähne entfernt werden?
Vor der kieferorthopädischen Korrektur ist eine Entfernung häufig nur sinnvoll, wenn die Weisheitszähne Zahnbewegungen behindern. Nach der kieferorthopädischen Korrektur beurteilen wir die Situation erneut und geben Ihnen eine Empfehlung.

Welche Zahnspangen gibt es und welche ist die richtige?
Es gibt keine "eine beste" Zahnspange, sondern die passende für jede Situation. Mögliche Optionen sind herausnehmbare Spangen (z. B. Bionator), feste Zahnspangen (Metall oder Keramik) oder transparente Schienen (Aligner). Unsere Aufgabe ist es, Sie verständlich über Vor- und Nachteile zu informieren. Die Entscheidung treffen wir gemeinsam.
Noch unsicher? Das ist völlig normal.
Viele Fragen lassen sich erst im persönlichen Gespräch sinnvoll beantworten. Vereinbaren Sie gerne einen Termin – wir nehmen uns Zeit für Sie und Ihr Kind.